Pediatric Dentistry

Our pediatric dentists provide complete dental care for newborns to college age students and everyone in between.

They trained at the country's best dental schools and pediatric hospitals and are comfortable treating almost any issue your child may have.

Our office has access to both Exeter Hospital and Portsmouth Regional Hospital for those patients who require treatment under general anesthesia and we also can provide sedation dentistry in our Exeter location.

Pediatric Dental Services

  • Exams & Cleanings & Sealants
  • Consultations / 2nd Opinions
  • Complete Digital X-Rays
  • White Fillings / Crowns / Retainers
  • Nitrous Oxide and General Anesthesia
  • Fractured Tooth Repair / Trauma / Extractions
  • Tooth Whitening

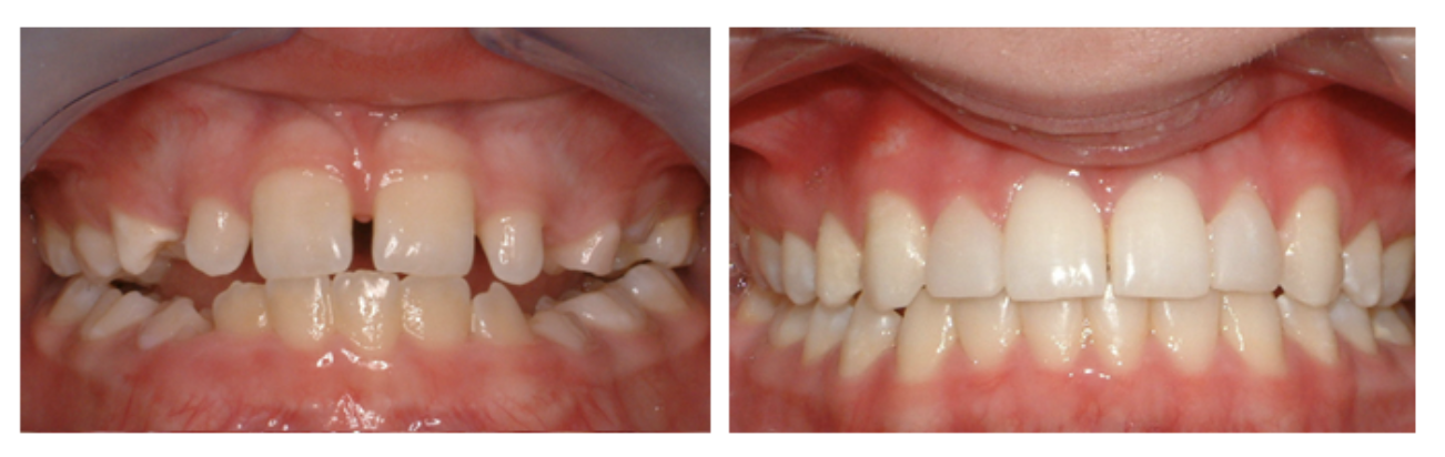
Orthodontics

Whether you are 12 years old or 45 years old, it’s the right time to have a great smile. And with Invisalign and clear braces, it’s never been easier to look your best even during treatment.

Give us a call, consultations are free and we work with all dental insurers and offer payment plans to make having beautiful teeth easy for everyone.

Orthodontic Services

  • Invisalign
  • White Braces
  • Standard Braces
  • Digital Impressions
  • Consultations / 2nd Opinions
  • Before and After 

Patient Registration

We have prepared a secure online form for your registration